Tongue- and Lip-Ties: The Facts
Which best describes you?
I think my baby
has a tongue- or lip-tie.
Babies with tongue- or lip-ties may be frustrated eating, constantly hungry, gassy, spitting up, or struggling to gain weight.
I think my older child
may have a tongue- or lip-tie.
Older children with tongue- or lip-ties may experience speech difficulties, feeding challenges, and sleep issues.
What are tongue-ties and lip-ties?
A physical condition that limits the use of the tongue is called a tongue-tie. This restriction often causes a range of issues and affects around 20% of the population. A lip-tie, on the other hand, is a condition where the upper lip is restricted and cannot move normally. It can cause difficulty with nursing, make it harder to brush the top teeth and can also lead to a gap in the teeth.
The tongue and lip are made up of a very complex group of muscles and are important for all oral functions. For this reason, having a tongue- or lip-tie can lead to nursing, feeding, dental, speech, sleep, or breathing problems. Problems can even persist into adulthood with sleep issues, headaches, neck pain, shoulder pain, and speech problems.
When to suspect tongue- and lip-ties in babies.
If you or your infant have more than a few of these symptoms, even with good weight gain, your child should be properly evaluated for a tongue- and lip-tie.
Mother’s Symptoms
- Painful nursing
- Creased or flattened nipples
- Blistered or cut nipples
- Incomplete breast drainage
- Plugged ducts or mastitis
- Inability to nurse without using a nipple shield
- Decreased milk supply
Baby’s Symptoms
- Poor latch
- Poor weight gain
- Reflux or frequent spitting up
- Frequent gassiness and fussiness
- Clicking or smacking noises when eating
- Dribbling milk out of mouth
- Frustration when eating
- Inability to hold a pacifier
- Prolonged nursing or bottle-feeding sessions
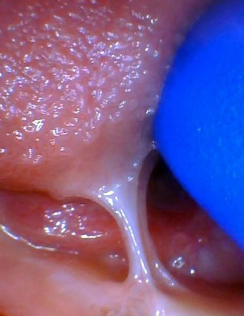
These images show the spectrum of lip restriction in an infant.
View lip restrictions
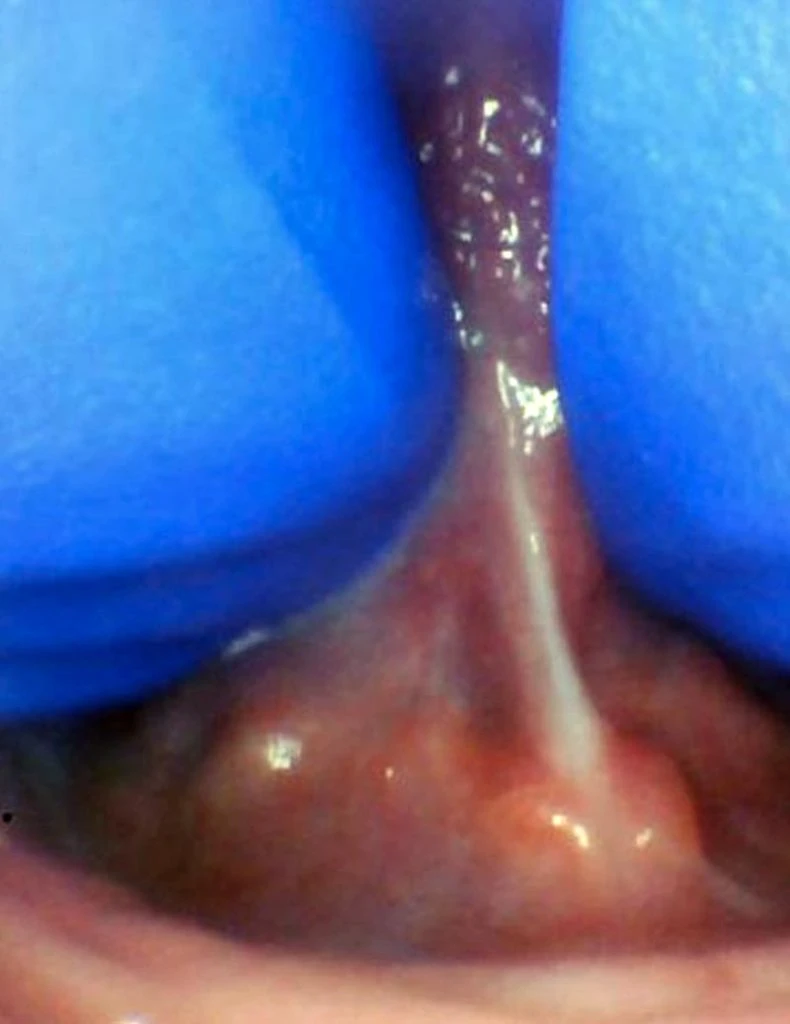
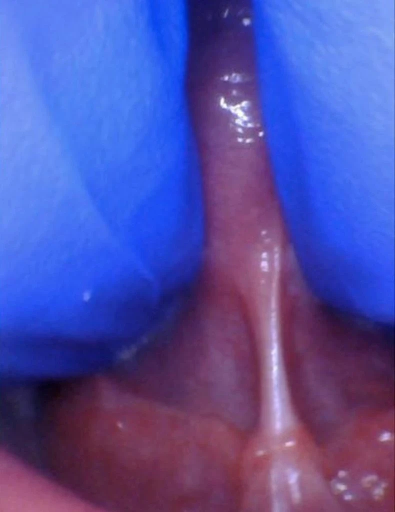
These images show the spectrum of tongue restriction in an infant.
View tongue restrictions
These images show the spectrum of posterior tongue restriction in an infant.
View posterior tongue restrictions
After releasing the tongue- and/or lip-tie, mothers often report immediate relief of pain and a deeper latch.
Watch the Video:
Tongue- and Lip-Ties in Infants
When to suspect tongue- and lip-ties in toddlers and older children.
There are many children who have difficulties related to tongue-ties and lip-ties, but unfortunately, these conditions are often not identified until later in life. They can cause speech and feeding difficulties, sleep issues, and a wide-range of other concerns.
If your child is unable to touch the roof of the mouth with his or her tongue when opening widely, is struggling with speech delay, or speech issues that aren’t resolving, has difficulty eating or getting a good night’s sleep, please explore the sections below or watch this video about tongue- and lip-ties in older children.
Speech
A tongue restriction affects speech differently in each individual. Some children with a to-the-tip tie can articulate well (but may struggle with increased effort when speaking). Other children, with a less visible or posterior tie, may have a speech delay or difficulty producing the sounds for L, R, T, D, N, TH, SH, and Z.
We are currently conducting studies to measure the effects of tongue-tie on children’s speech and the effectiveness of the release procedure. The following issues all saw a significant improvement after a tongue-tie release in our office (p < 0.01): frustration in communication, difficulty being understood, difficulty speaking fast, difficulty getting words out, trouble with speech sounds, speech delay, and mumbling or speaking softly.
We have seen that many tongue-tied children begin saying new words, even just hours or days after the release! One child said four new words the same day as the procedure. Another increased from a total of 10 words before the procedure to 39 in the week following. There is no guarantee that every child will have immediate results, but we often see this type of drastic improvement.
Feeding
Children that are tongue-tied often have eating issues from infancy, such as trouble nursing or taking a bottle. When transitioning to solid foods, they may choke, gag, or have difficulty swallowing certain textures.
In childhood, these eating difficulties can persist and are evidenced by only eating small amounts of food, slow eating, packing food in the cheeks like a chipmunk, and pickiness with textures (soft, mushy foods and meats are typically the most difficult, but children can struggle with other foods as well). In our recent study, 84% of children with feeding issues saw improvement.
Sleep
A tongue-tied child will often grind his or her teeth at night, snore, or experience other sleep-disordered breathing problems. Releasing a tongue-tie can help a child to sleep more soundly because the tongue will be able to rest on the palate, as it was designed to do, rather than falling back to narrow or block the child’s airway. Sleep-disordered breathing can cause frequent waking, restlessness, bed-wetting, failure to feel refreshed upon waking and accompanying difficulty focusing (which is sometimes misdiagnosed as ADD or ADHD).
Because multiple factors contribute to the problem, such as large tonsils and adenoids, a narrow palate and tongue-tie, often a child will be seen by multiple specialists to try to remedy the problem. In addition, children with tongue-ties often have a history of multiple ear infections and needing ear tubes. They may have had tonsils and adenoids removed. All of these can be complicated by the mouth-breathing that frequently occurs in tongue-tied individuals, due to the low resting posture of the tongue. We have found that when there is a tongue-tie, sleep often improves dramatically after a simple in-office procedure.
These images show the spectrum of lip restriction in a child.
View lip restrictions
These images show the spectrum of tongue restriction in a child.
View tongue restrictions
These images show the spectrum of posterior tongue restriction in a child.
View posterior tongue restrictions
Learn more about child tongue- and lip-ties in this video.
Watch the Video:
Tongue- and Lip-Tie Treatment for Kids & Adults
If you choose to have your child’s mouth restriction released, here’s what you can expect.
After listening to your concerns and conducting a comprehensive assessment, we’ll help you get to the root cause of the issues your child is experiencing. If a tongue- or lip-tie is the culprit, we’ll go beyond a traditional snip or clip and release it completely the first time. We do not use sedation or general anesthesia for this quick procedure.
Release
Using a state-of-the-art dental laser, we easily release ties in a 10-15 second procedure, usually with minimal to no bleeding.
Recover
Babies are able to go to mom immediately following the procedure and nurse if needed. Kids typically go play on our playground!
Re-check
We’ll provide you with exercises to do at home to help get the best results. Then, we’ll follow-up one week after the procedure.
For patients traveling a long distance, this re-check can be completed virtually.
After your child’s tongue- or lip-tie release…
It’s important to understand that, when your child has a tongue- or lip-tie released, improvement isn’t always instantaneous. It’s typically just the first step in treatment.
Just like any other muscle in the body, the tongue is used to functioning in a certain way. When it’s restricted by a tongue-tie, the body adapts and other muscles have to help compensate. When a tongue-tie is released, your child will have no muscle memory of how to use the tongue effectively without the restriction, so your child’s brain will need some time to learn the new skill.
While many mothers notice an immediate improvement in their infants’ ability to nurse, it is also completely normal for this to take time, as well. There may even be a little regression in sucking for a day or two as your child learns how to use an unrestricted tongue.
Jamie M.
I can’t believe my daughter was put through surgeries, feeding tubes, therapy and releasing a tongue-tie fixed her. Thank you!!!
McKenzie M.
After months of struggling with breastfeeding, we were both beyond frustrated and dreading every feeding. I called the center and they got me in two days later – the staff was extremely friendly and Dr. Baxter was absolutely incredible. He listened to my concerns attentively, validated my feelings and provided a thorough examination and diagnosis. Each day since the procedure, feeds have been easier and four days out, things are nearly “normal!”
Jeanna M.
We are already seeing huge improvements in his nursing and sleep patterns. Dr. Baxter took his time explaining everything to us, and has the kindest disposition.
Darby W.
Our experience with Dr. Baxter was wonderful! The procedure was a breeze, lasted 15 seconds, and my kid was running on the playground outside of the building immediately after.
Jennifer L.
As soon as the procedure was done, my son latched on deeply for the first time. Two and a half weeks after the procedure [we] went to the pediatrician for a weight check. The doctor was surprised at his weight gain and they said we should not need a feeding tube any longer!
Naomi D.
I couldn’t be more thankful to them. Not only did they fix my son’s lip-tie, Dr. Baxter fixed his tongue-tie that nobody else had even said anything about. That seriously changed his life. He went from a 2.5 yr old that didn’t talk to the most talkative 2.5 yr old ever!
Emily J.
Dr Baxter corrected our infants tongue-tie. SUCH a better experience than having the correction done [elsewhere] with our previous kids. His techniques are thorough and quick. He called us that evening to check on us and gave us his number so we could contact him if we needed anything.
Kaley M.
Dr. Baxter performed a tongue- and lip-tie revision on my son when he was 8 weeks old. I was very close to quitting breastfeeding all together but it resolved any problems we had with nursing and made our life so much easier. I was very pleased with the process, atmosphere and staff.
Jennifer A.
We drove from 2.5 hours away because I had read so many good things about Dr. Baxter (which I found to all be true) and it was well worth the drive.
Tongue-Ties & Babies Presentation for Parents
Infant Aftercare Stretching Video
Child, Teen, & Adult Stretching Video
CO2 Laser Tongue-Tie Release 2 Year Old Child
CO2 Laser Tongue- and Lip-Tie Release in a Baby
One-Hour Lecture on Tongue-Ties for Professionals
Does your child have a tongue-tie?
Babies and young children aren't able to communicate if a tongue-tie is causing problems with their eating, sleeping, and speech, but they do exhibit symptoms to help a restriction be recognized!
We've designed a simple online questionnaire to help you spot possible signs of a tie in your little one. It takes just a few minutes to complete and the results could change your child's life. Click here for the complete list of common symptoms. If there are more than a few of these present, then a consultation with one of our doctors would be worthwhile.


